Casos que representam o nosso jeito de fazer Odontologia
Transformar sorrisos com segurança, agilidade e cuidado é a maior prova do nosso compromisso com você e sua família. Aqui você encontra casos reais realizados por nossa equipe multidisciplinar, desde tratamentos infantis até reabilitações completas na vida adulta.

Conheça histórias especiais de alguns sorrisos
que passaram por nossas clínicas.
Implantodontia
Conheça a história da Maria Helena que, após 44 anos, teve seu sorriso resgatado e transformado por meio das condições facilitadas oferecidas em nossa clínica.
ESTÉTICA DENTAL
Walber sabe da importância da autoestima e confiança por meio
do seu sorriso e por isso busco transformar o seu em nossa clínica
Um caso que reforça a importância do cuidado com dente de leite e do tratamento para garantir um futuro mais saudável para este sorriso.
ODONTOPEDIATRIA
Histórias de sorrisos
Implantodontia
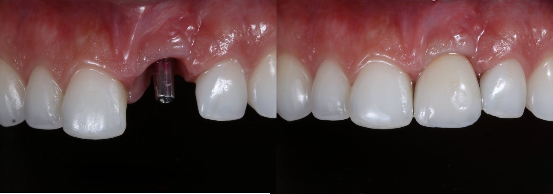
O implante unitário é a melhor opção para substituir um único dente perdido, seja por fratura, cárie avançada, queda do dente de leite sem sucessor ou qualquer outra causa. Ele funciona como uma “raiz artificial” de titânio que é colocada no osso, no mesmo local onde o dente estava. Depois que o implante está firme, instalamos um novo dente sobre ele, feito sob medida para combinar com os demais.
1.1 Implantes unitários
1.2 Implantes Múltiplos
Os implantes múltiplos são indicados quando você perdeu mais de um dente na mesma região da boca. Em vez de usar uma ponte ou uma prótese móvel, colocamos dois ou mais implantes que funcionam como raízes artificiais, devolvendo firmeza, estabilidade e aparência natural aos dentes substituídos. Depois que os implantes estão fixos no osso, instalamos dentes feitos sob medida, que devolvem a função de mastigação e a estética do sorriso.
1.3 Prótese Fixa
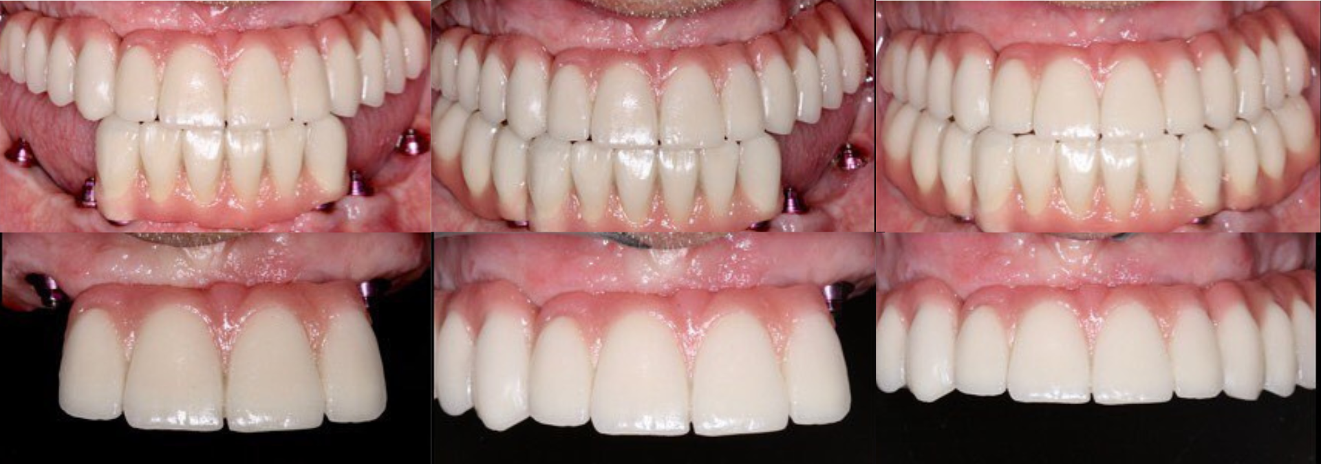
A reabilitação com protocolo fixo é um tratamento em que usamos alguns implantes para sustentar uma prótese total fixa, substituindo todos os dentes de cima (superior), de baixo (inferior) ou ambos. É indicada para quem usa dentadura ou perdeu a maior parte dos dentes e quer voltar a ter um sorriso firme, estável e com aparência muito próxima do natural. A prótese fica parafusada sobre os implantes, não sai da boca no dia a dia e devolve segurança para mastigar, falar e sorrir.
1.3 Prótese Fixa segmentada
Neste tratamento, reabilitamos todos os dentes de cima utilizando implantes, mas em vez de uma única peça grande, o sorriso é formado em partes que encaixam entre si. Cada parte é aparafusada sobre os implantes, ficando totalmente firme, como se fosse um arco único. Isso permite devolver todos os dentes superiores com estabilidade, estética natural e uma adaptação mais confortável, além de facilitar eventuais manutenções no futuro.
Estética dental
2.1 Clareamento Dental
O clareamento dental é um tratamento estético que serve para deixar os dentes mais claros e com aparência mais jovem, sem desgastar o dente. Ele age por meio de um gel específico que penetra no esmalte e quebra os pigmentos que deixam os dentes amarelados ou manchados, como os causados por café, chá, cigarro, vinho, envelhecimento ou uso prolongado de alguns medicamentos.
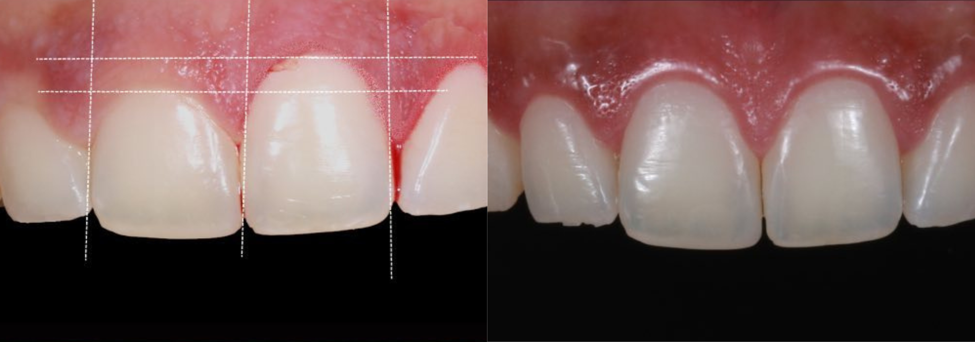
2.2 Facetas em Resina
As facetas de resina composta são laminados finos feitos diretamente sobre os dentes pelo dentista, utilizando uma resina da cor do dente para corrigir forma, tamanho, pequenas fraturas, fechamento de espaços e melhorar a aparência do sorriso. Elas são indicadas quando o paciente deseja um resultado estético mais rápido e conservador, pois geralmente exigem pouco ou nenhum desgaste da estrutura dental, permitindo ajustar cor e formato dos dentes de maneira personalizada, em poucas sessões.
2.3 Acréscimos em Resina
Os acréscimos de resina composta são pequenas aplicações estratégicas de resina sobre partes do dente, sem a necessidade de revestir todo o dente como em uma faceta. Em muitos casos, o paciente não precisa de uma transformação completa, e sim de uma combinação inteligente: primeiro, o clareamento dental para alcançar o tom de brancura desejado e, depois, o acréscimo pontual de resina para melhorar formato, textura, preenchimento de espaços ou pequenos desgastes, respeitando a estrutura natural do dente. Dessa forma, conseguimos harmonizar o sorriso de maneira conservadora, personalizada e funcional, ajustando apenas o que realmente precisa ser corrigido, sem exageros e sem intervenções desnecessárias.
2.4 Lentes de porcelana
As lentes de porcelana são lâminas ultrafinas feitas em laboratório, que são coladas na parte da frente dos dentes para transformar a estética do sorriso de forma mais duradoura e previsível. Elas são indicadas quando é preciso corrigir cor, formato, tamanho, alinhamento leve e pequenas imperfeições dos dentes, criando um sorriso mais harmônico e uniforme com aspecto natural, geralmente com pouco desgaste dental, planejadas de forma personalizada para cada paciente.
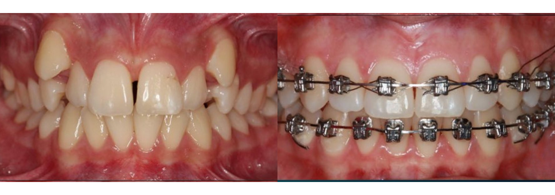
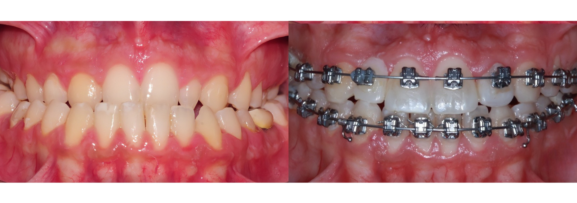
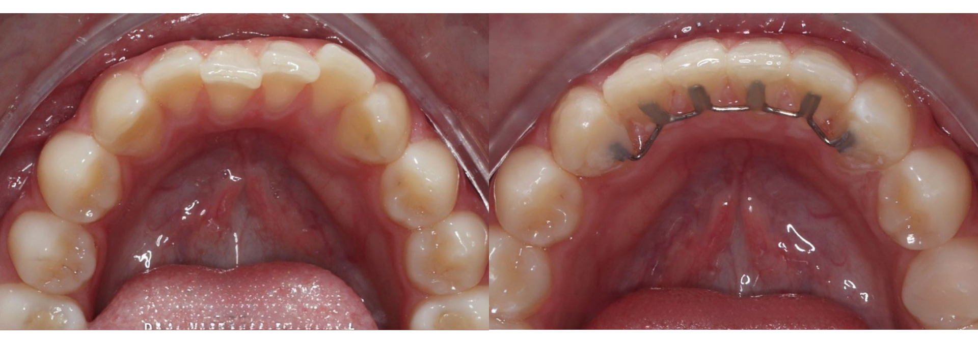
Ortodontia
3.1 Aparelho fixo
O aparelho ortodôntico fixo é um tratamento que utiliza bráquetes colados nos dentes, fios e acessórios para alinhar o sorriso e corrigir a mordida, sendo indicado para diversos tipos de má oclusões. Antes da fase fixa, em muitos casos usamos aparelhos ortopédicos (principalmente em crianças e adolescentes) para guiar o crescimento ósseo dos maxilares, corrigir a relação entre a arcada de cima e a de baixo e criar espaço para os dentes permanentes nascerem melhor posicionados. Já com o aparelho fixo, tratamos problemas como dentes apinhados (encavalados), espaçamentos, mordida cruzada (quando a arcada de baixo morde por fora da de cima), mordida aberta (quando fica um “vão” ao fechar os dentes), mordida profunda (quando os dentes de cima cobrem demais os de baixo) e más relações de Classe I, II e III, ajustando o encaixe da mordida para melhorar estética, função mastigatória e saúde da articulação.
3.2 Alinhadores
Os alinhadores são placas transparentes e removíveis que encaixam sobre os dentes e, com a troca sequencial dos conjuntos, promovem o alinhamento do sorriso e a correção da mordida de forma mais discreta do que o aparelho fixo tradicional. Eles são planejados digitalmente, o que permite visualizar o passo a passo da movimentação antes mesmo de iniciar o tratamento. Na clínica, trabalhamos com diferentes marcas comerciais de alinhadores, como Invisalign, Spark Aligners e a linha UPline (produzida pela nossa empresa parceira), o que nos permite escolher a melhor opção para cada caso, sempre com foco em eficiência, conforto e estética durante todo o processo de ortodontia.
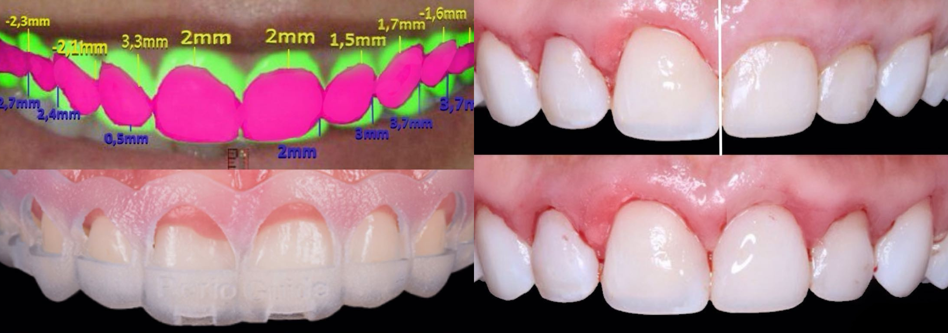
3.3 Gengivoplastia
A gengivoplastia é um procedimento estético em que o dentista remodela o contorno da gengiva para deixá-la mais harmoniosa em relação aos dentes e ao sorriso. Ela é indicada quando a gengiva aparece demais ao sorrir (“sorriso gengival”), quando há excesso de tecido gengival cobrindo parte do dente ou quando o contorno é irregular, deixando alguns dentes com aparência mais curtos ou “quadrados”.
Odontopediatria
Na odontopediatria, o tratamento é um cuidado multidisciplinar focado em manter os dentes de leite saudáveis, garantindo espaço e alinhamento para os dentes permanentes. Isso abrange limpezas, orientações de higiene, restaurações, tratamentos de canal, selantes, controle de cáries, manejo de traumas e acompanhamento do crescimento das arcadas. O objetivo é prevenir problemas futuros e criar um ambiente bucal favorável ao desenvolvimento de um sorriso saudável.
Clínico Geral
5.1 Limpeza clínica
A limpeza clínica, também chamada de profilaxia, é o procedimento para remover placa bacteriana, tártaro e manchas superficiais que a escovação e o fio dental não conseguem tirar em casa. Esse cuidado ajuda a prevenir cáries, gengivite, mau hálito e outros problemas bucais, além de manter a boca mais saudável para receber outros tratamentos quando necessário.
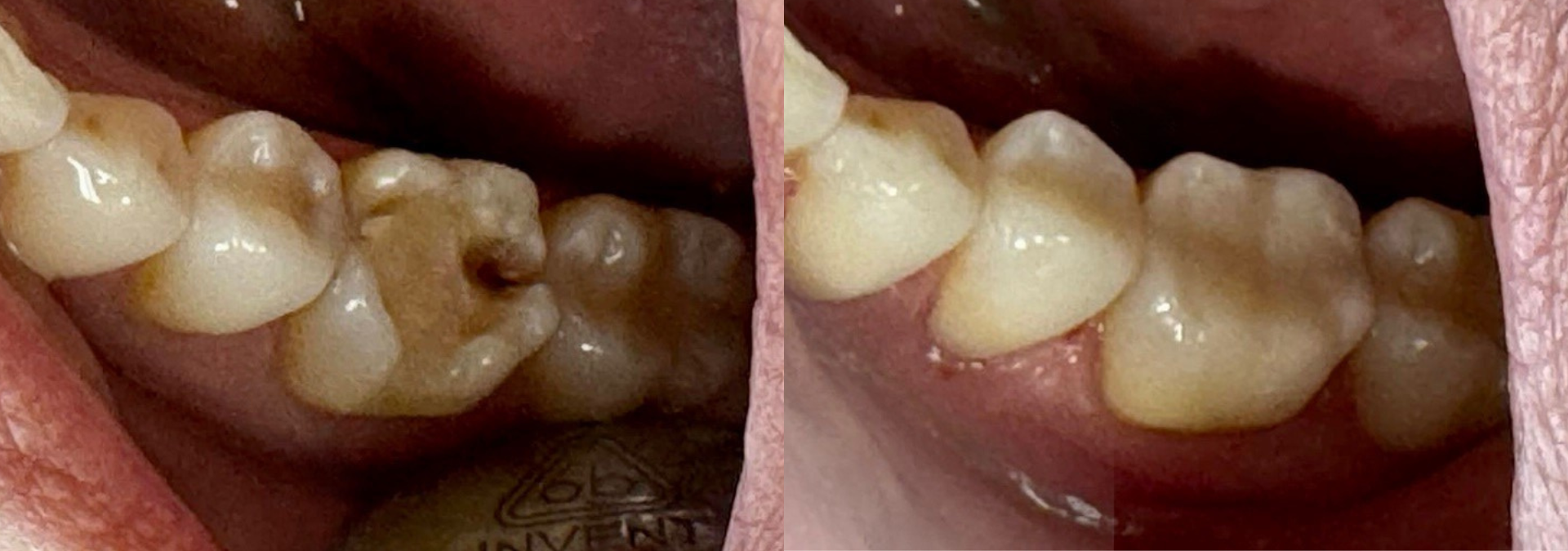
5.2 Restauração direta
A restauração direta é feita inteiramente na cadeira, em uma única sessão, usando resina composta colocada diretamente no dente após a remoção da cárie ou da parte fraturada. O dentista molda e ajusta o material ali mesmo, devolvendo forma, função e estética de maneira rápida e conservadora, sendo ideal para cáries pequenas e médias ou pequenas fraturas
5.2 Inlay
A inlay é uma restauração indireta, confeccionada em laboratório (em resina ou porcelana), indicada quando a cavidade é maior e exige mais resistência e precisão do que uma restauração direta. O dentista remove a parte comprometida, faz uma moldagem (ou escaneamento), e depois cimenta a peça pronta dentro do dente, encaixando como um “preenchimento sob medida”, o que aumenta a adaptação e a durabilidade.
5.3 Overlay
A overlay também é uma restauração indireta feita em laboratório, mas diferente da inlay porque cobre não só o interior da cavidade, como também parte ou todas as cúspides (pontas) do dente. Ela é indicada quando há grande perda de estrutura e o dente precisa de reforço adicional, protegendo melhor a região de mastigação, com alta resistência e longevidade, muitas vezes sendo uma alternativa mais conservadora do que uma coroa total.
Histórias de sorrisos
Conheça abaixo a história de alguns dos sorrisos que passaram pela clínica e saiba que o próximo sorriso a ter uma nova história pode ser o seu.

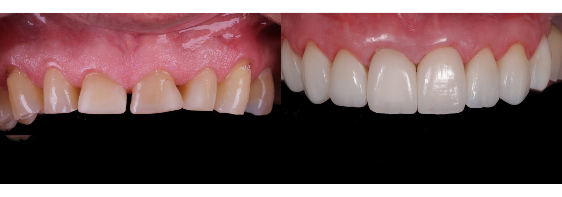
Foram 44 anos até chegar nesse novo sorriso que ela tem hoje. Nós não queremos que você espere nem mais um dia por achar que esse tratamento é um sonho inalcançável, porque não é.
Colocar seus sonhos como prioridade e investir em você é o primeiro passo para ter uma vida mais tranquila e com mais qualidade, seja com implantes ou qualquer outro tratamento que cuide da sua saúde e bem-estar.
Hoje, o relato da Maria Helena é um misto de alívio e felicidade. Ela vive uma vida melhor porque decidiu se permitir conhecer nosso trabalho e investir em si. E você, está disposto a fazer o mesmo por você?
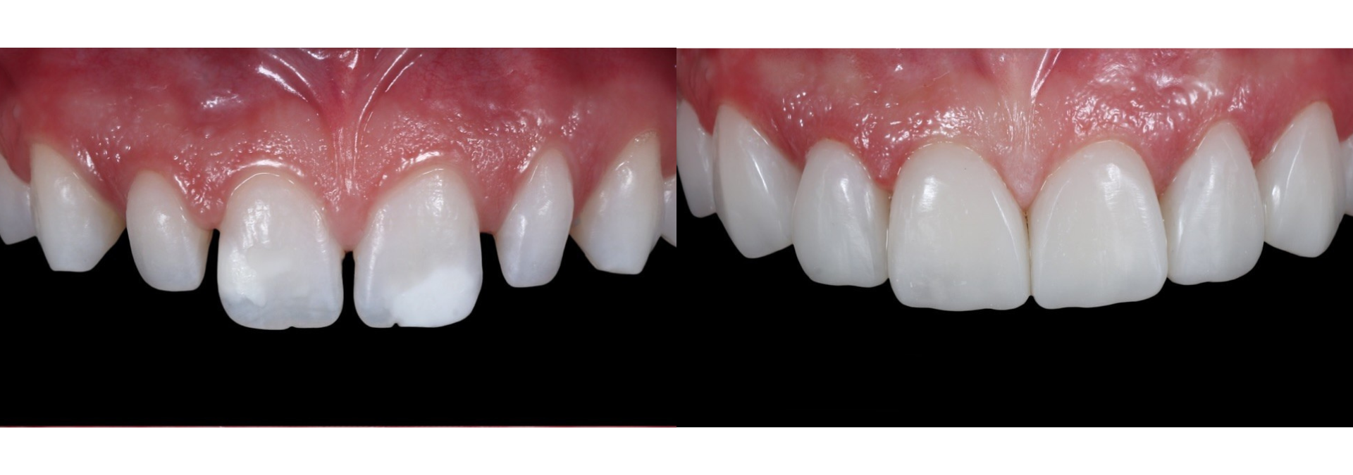
Conheça a história do
sorriso da Maria Helena

A maneira como cuidamos das pessoas é fundamental para o resultado final de qualquer tratamento. O sorriso renovado de hoje reflete exatamente isso: um atendimento que acolhe as dores e preocupações, buscando transformá-las em alívio e satisfação.
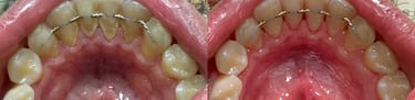
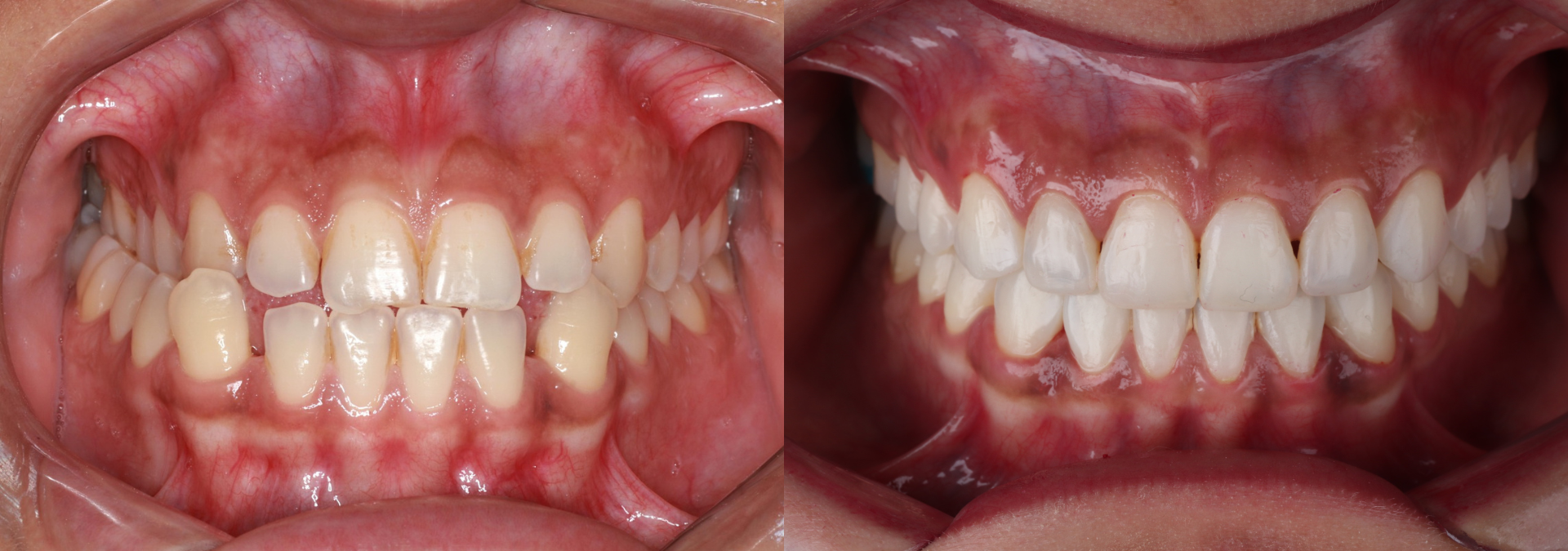
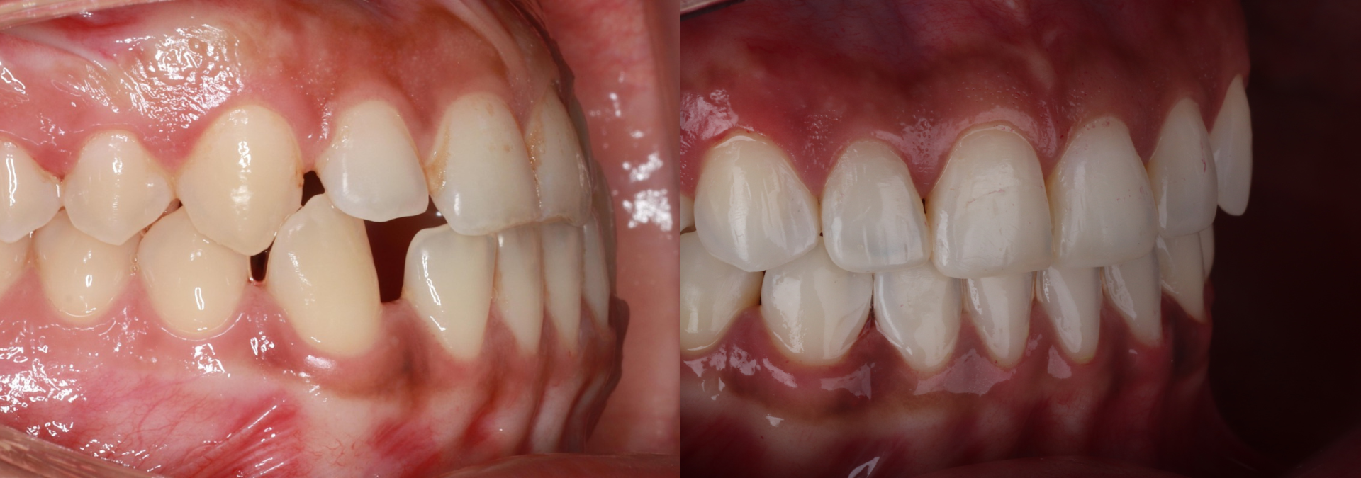
Assim foi a experiência do nosso paciente Walber, que carregava uma insatisfação com seu sorriso e um certo trauma devido a experiências anteriores. No entanto, essa insatisfação foi superada quando ele conheceu o trabalho da nossa profissional, Dra. Luma Moura.
Toda a reabilitação estética foi realizada com resina composta, tanto na parte superior quanto inferior. O resultado é um sorriso deslumbrante e uma qualidade de vida aprimorada, que começa pela autoestima.
Nosso querido paciente compartilhou sua experiência, que agora está eternizada em seu feedback.
Conheça a história do sorriso do Walber

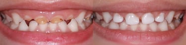
Dra. Juliana Campos, nossa especialista em odontopediatria, atendeu uma criança no Hospital São Francisco. O procedimento foi realizado sob anestesia geral, com a supervisão do médico anestesista Dr. Lucius Lopes, garantindo tranquilidade e segurança durante todo o processo.
Foi possível preservar os quatro dentes de leite impactados, que não podiam ser extraídos prematuramente devido à sua importância para o desenvolvimento e erupção dos dentes permanentes.
Esse cuidado é fundamental para o futuro da criança, assegurando saúde, funcionalidade e um sorriso protegido. Hoje, temos nosso pequeno paciente saudável, com qualidade de vida, sem dor ou desconforto.
Assista à explicação da Dra. Juliana e do Dr. Lucius e preste atenção na mensagem que eles deixaram.














































































